deverett

Ben Deverett, MD, PhD

Anesthesiologist-scientist innovating at the intersection of brains, machines, and medicine.

Below are project snippets from work at McGill, Carnegie Mellon, Rutgers, Google DeepMind, Princeton, Stanford, and tech.

ambience

LLM-based AI for healthcare

AI researcher at a healthtech startup, engineering and evaluating new AI tools to enhance healthcare delivery.

predictor

Foundation model for intraoperative medicine

Building and validating foundation models to unlock the predictive power of intraoperative data and guide clinical decisions (manuscript in revision).

interface

Neuroengineering with anesthetics

Developing software and hardware to perform closed-loop behavioral, pharmacologic, and EEG-based human studies.

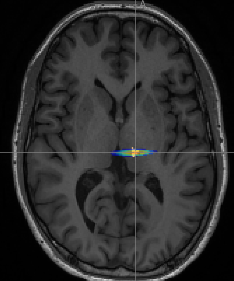
tus

Transcranial ultrasound neuromodulation

Noninvasively modulating brain circuits with high spatial precision to enhance the way medications influence the brain (study ongoing, ask me for details).

Teaching

Teaching

Educating Princeton students in programming and math; and Stanford residents on intravenous anesthetics and neuroanatomy.

mpog

Perioperative outcomes

Using multi-institutional operating room data to uncover how anesthesiologist habits influence patient outcomes (in press).

ipad

Human-computer optimization

Reimagining how we interact with keyboards in iOS to improve efficiency on touchscreens.

network

Network visualization

Using Amazon Mechanical Turk to study how we can represent measures of centrality in visual graph representations.

ols

Music production

Numerous original musical production projects including for an award-winning musical.